Whether prepping a tooth for a restoration or prepping a tooth for veneers; air abrasion is a vital tool in creating excellent restorations.
Offering numerous benefits for both patient and practitioner, air abrasion is both minimally invasive and precise.
The following photographs from Dr Perry document how the AquaCare unit is the perfect tool for this purpose – using breakthrough technology to deliver a comfortable, quick and clean procedure.
Dr Chad Perry
Dr Perry is the Founder of Chad Perry, D.D.S – a practice committed to the art of dentistry
He earned his dental degree at Baylor College of Dentistry, Dallas. From here, he commenced his long and successful dental career. Initially, he worked as an associate dentist, before working for 2 years at Baylor College of Dentistry as a clinical professor.
Following this, he decided to open his own practice in North Richland Hills, Texas where he works today with his wider team.
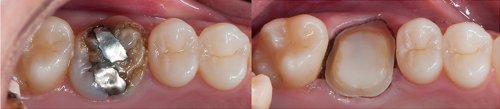
Refining Preparations
The AquaCare unit is the perfect tool for refining preparations, as illustrated below.
Prep refined with AquaCare utilising Sylc Powder:

What is Sylc Powder?
Powered by Novamin, Sylc is a calcium sodium phosphosilicate powder, a highly biocompatible material which was initially developed as a bone conductive material.
The bioactive glass material reacts with body fluids (saliva) to deposit hydroxycarbonate apatite (HCA), a mineral that is chemically similar to natural tooth mineral.
Video demonstrating the AquaCare in use (cleaning with Sylc):
Initial Steps prior to Composite Restoration
Providing a fast and efficient clean, the AquaCare unit can access even the most difficult pits and crevices, whilst also treating sensitivity.
Initial prep
Cleaned with the Aquacare utilising Sylc Powder
Once the initial preparatory steps have been taken with the AquaCare unit, composite restoration can take place.
As well as prepping a tooth for restorative work, the AquaCare unit can also be used to perform air abrasion; preparing the tooth for veneer placement. Here, Dr. Perry uses Sylc powder prior to the final seating of veneers.
The result is aesthetic veneers which are an ideal size and fit for the patient.