Michaela O'Neill is a Dental Hygienist with over 25 years' experience both clinically and professionally.
Having worked in various dental practices and hospitals, and lectured throughout the UK, Michaela became the President of The British Society of Dental Hygiene and Therapy for two years. And she has since been voted onto the board of the International Federation of Dental Hygiene.
Here, Michaela talks us through the best teeth whitening protocol for Dental Hygienists and Therapists, and outlines how Dentists can adhere to legislation whilst making use of all of their team.
.png?width=906&height=333&name=The%20future%20learning%20pathway,%20the%20future%20care%20pathway%20-%20everything%20is%20going%20to%20have%20some%20kind%20of%20technology%20within%20it.%20This%20is%20going%20to%20help%20dentists%20become%20more%20efficient%20and%20will%20really%20benefit%20patient%20care.%20(4).png)
The EU regulations on tooth whitening have had both a positive and negative effect on the dental team...
Positive because we are now legally allowed to use a non-invasive, ethical procedure to whiten teeth, but negative in that the some of the dental team are impeded in their ability to carry it out. Even if they are suitably trained and indemnified to undertake this procedure.
And unfortunately, the regulations have had little impact on the percentages available over the counter (OTC) or those being used by non-dental professionals - despite best efforts.
To help you adhere to legislation and effectively deliver tooth whitening to your patients, I have created a best practice protocol to tooth whitening. But first...
What changes has the legislation brought about?
The legislation highlighted 4 key changes:
- Only products containing or releasing 0.1% of hydrogen peroxide or less are available to buy OTC
- Products containing or releasing 0.1% - 6% hydrogen peroxide are to be used by a dental practitioner (as defined under Directive 2005/36/EC), or under their direct supervision after a clinical examination
- These products are regulated in a way which means they are not directly available to the patient. For each cycle of use, the first use must be undertaken by a dental practitioner or under their direct supervision
- Appropriate labelling should show what percentage of hydrogen peroxide (either contained or released) is present in that product
The attempts to protect the consumer by limiting the amount of hydrogen peroxide in products and detailing those who can legally prescribe them are necessary, but not very effective. Maybe in light of Brexit - and the need for all EU legislation to be redrafted for UK law - we should look at these restrictions again.
For instance, whilst I agree that non dental professionals should not be allowed to use hydrogen peroxide to whiten teeth, I also believe that the dental hygienist and therapist should not be restricted. Often they are competently trained on how to complete the treatment - training that is not required of dentists.
After all, patient protection is our prevailing concern. As is delivering an outstanding customer journey. To do this, dentists must utilise the full scope of their practice - which means harnessing the skills of all their dental team.
In this professional tooth whitening protocol, I address how you can use your team effectively whilst complying with the EU Directive...
Tooth whitening protocol: The examination
It is up to each practice individually as to who carries out the patient’s assessment for tooth whitening suitability - typically, this will be the clinician they initially approached.
The EU legislation (Council Directive 2011/84/EU of 20th September 2011 amending Directive 76/768/EEC point (3)) recommends that an appropriate clinical examination is carried out to ensure there are no risk factors or other oral pathology of concern.
In September 2013, the GDC added that a dental hygienist or therapist could diagnose within their remit. This implies that an appropriately suitably trained clinician in tooth whitening should be able to examine the patient for suitability for this procedure.
This examination should include a comprehensive medical history, including:
- Information which could help to diagnose the discolouration
- Medicines or conditions which may make tooth whitening difficult or contraindicated
- Radiographs if necessary.
All of which should be recorded.
Before the patient is offered a prescription for hydrogen peroxide and proceeds with the treatment, examination notes should always be assessed by the dentist.
Once approved by the dentist, I would recommend discussing the treatment with the patient, backed with an information leaflet. This will help them make an informed decision and provide informed consent.
- Provide them with information on the procedure
- Discuss what the treatment involves
- Tell them how their teeth might feel during the process
- Outline which products are being used, and also any alternatives they could use to successfully whiten their teeth
- Talk through the costs, extra costs, time, risks and possible side effects - including what to do if teeth are sensitive and what happens if there is no change in colour

Tooth whitening protocol: Appointment 2
There are a number of reasons the dental hygienist or therapist should continue the treatment from here. The primary reason is the cost of the time in this surgery compared to the potential earnings lost in the dentist chair...
The second appointment will require a signature of consent, to prove the patient agrees to and understands the process.
The clinician will also need to take impressions for whitening trays...
- The type of tray used is open for debate, but generally I use scalloped trays with reservoirs.
- If necessary, debride the teeth
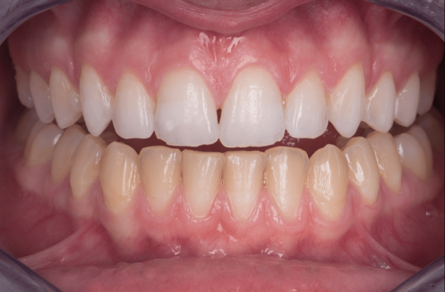
- Take ‘before’ photographs with the shade guide - Style Italiano recommend a full arch frontal image (magnification 1:2) with lip retractors. There should be no saliva and the patient should be asked to bite
This appointment is also a good time to start a desensitising programme; I would recommend that patients use a desensitising toothpaste morning and night to help reduce the effects of sensitivity.
Tooth whitening protocol: Appointment 3
Typically, the third appointment - to fit the whitening trays and demonstrate how to use the bleaching gel - will be around 1-2 weeks after the second.
Start by checking the fit of the trays by fitting it into the patient’s mouth. This is your time to check that they are comfortable and that there’s no blanching on the tissues.
You should also offer advice on how to properly use the product by outlining:
- How to properly care for the whitening tray
- What foods and drinks should be avoided to help deliver optimum results
- How much gel should be used and where it should be placed; try marking the trays for future use and explain the smile line
The EU Directive indicates that for each cycle of use, the first application of whitening gel must be carried out by a Dental Practitioner or a Dental Hygienist or Therapist under the Practitioner’s direct supervision. This helps ensure the same high level of safety for each and every patient.
There are a growing number of dentists who prefer to use just upper trays initially. Van Heywood recommends this approach as a way to reduce sensitivity, but it also means patients can see the difference in the tooth colour as the treatment progresses.

Image source: Gregory Camaleonte, Style Italiano
This method helps to build compliance but will mean you need an extra appointment to fit the bottom tray 2 weeks later.
Tooth whitening protocol: Appointment 4
This appointment is to assess the patient’s satisfaction and take photographs to highlight the change in shade. If the discolouration needs more treatment time, then periodic assessment appointments must be made to review the progress.
If the patient needs more restorative work, allow 2 weeks between whitening and restorative appointment to allow for rebound and prevent affecting the bonding process.
